Digitales Röntgen -

Panorama und DVT - 3D -Volumentomographie

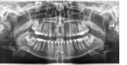
Für den Zahnarzt haben Röntgenaufnahmen einen unverzichtbaren Stellenwert in der Diagnostik und Behandlungsplanung. Für die Implantologie und viele andere zahnärztliche Bereiche bietet das digitale Röntgen eine optimale Möglichkeit der Vorplanung und Unterstützung während der Behandlung. Digitale 2D-Röntgenbilder und DVT´s/ 3D-Röntgenbilder können wir in besonders hoher digitaler Qualität und geringer Strahlendosis durchführen.

Die Vorteile unserer digitalen Röntgen-technik:

sehr hohe Auflösung und Kontrast sehr geringe Strahlenbelastung sofortige Bilddarstellung in Echtzeit optimale Vergrößerungsmöglichkeiten umfangreiche Bildnachbearbeitung punktgenaue Vermessung von Strecken gemeinsame Ergebnisauswertung mit dem Patienten Hochauflösende Panoramaaufnahme:
zurück zurück

Anwendungsgebiete für die 3D-Diagnostik in unserer

Zahnarztpraxis Celle sind:

Implantologie Endodontie spezielle Parodontologie Chirurgie Zahnersatz Kieferorthopädie

3D- Röntgen - DVT

Digitales Röntgen -

Panorama und DVT - 3D -Volumentomographie

Für den Zahnarzt haben Röntgenaufnahmen einen unverzichtbaren Stellenwert in der Diagnostik und Behandlungsplanung. Für die Implantologie und viele andere zahnärztliche Bereiche bietet das digitale Röntgen eine optimale Möglichkeit der Vorplanung und Unterstützung während der Behandlung. Digitale 2D-Röntgenbilder und DVT´s/ 3D-Röntgenbilder können wir in besonders hoher digitaler Qualität und geringer Strahlendosis durchführen.

Die Vorteile unserer digitalen Röntgen-technik:

sehr hohe Auflösung und Kontrast sehr geringe Strahlenbelastung sofortige Bilddarstellung in Echtzeit optimale Vergrößerungsmöglichkeiten umfangreiche Bildnachbearbeitung punktgenaue Vermessung von Strecken gemeinsame Ergebnisauswertung mit dem Patienten Hochauflösende Panoramaaufnahme:
zurück zurück

Anwendungsgebiete für die 3D-Diagnostik in unserer

Zahnarztpraxis Celle sind:

Implantologie Endodontie spezielle Parodontologie Chirurgie Zahnersatz Kieferorthopädie
Zahnärztliche Gemeinschaftspraxis     Hannoversche Heerstr. 130  .  29227 Celle   Tel. 05141 81993  info@dent-team.de © dent-team.de 2026 Montag - Donnerstag: 7:30 - 18:30 Uhr  Freitag: 7:30 - 14:00 Uhr