perfekte Wurzelkanalfüllung

Endodontie - Wurzelkanalbehandlung

Ursachen und Behandlungsablauf:

Wenn der Zahnnerv (Pulpa) entzündet oder schon abgestorben ist, dringen Bakterien über den Wurzelkanal in den Körper ein. Dieses führt zu einer chronischen oder akuten eitrigen Entzündung in der Umgebung der Wurzelspitze. Sehr starke Zahnschmerzen sind die Folge. Um den erkrankten Zahn langfristig zu erhalten, muss eine Wurzelkanalbehandlung durchgeführt werden. Ziel ist die bakterielle Besiedlung der Wurzelkanäle zu eliminieren und eine Neubesiedlung mit Bakterien durch eine sog. Wurzelfüllung dauerhaft zu verhindern.
zurück zurück
Die dauerhafte Elimination der Bakterien aus dem Zahninneren wird durch die vollständige Erschließung der Wurzelkanäle, Reinigung und chemische Desinfektion sowie durch die abschließende sorgfältige Abdichtung des Wurzelkanals über seine gesamte Länge durch eine homogene wandständige Wurzelkanalfüllung erzielt. Wurzelkanalbehandlungen gehören zu den schwierigsten Disziplinen in der Zahnheilkunde. Neue Erkenntnisse, neue Techniken und neue Systeme eröffnen beste Voraussetzungen, mit denen man heute auch schwierige Wurzelkanalbehandlungen oftmals schonend, schmerzfrei und erfolgreich durchführen kann.
© dent-team.de

Unsere modernen Systeme zur Wurzelbehandlung:

neue maschinelle Aufbereitungssysteme spezielle elektronische Systeme zur Vermessung hochauflösende digitale Röntgentechnik aufwendige Desinfektion und Reinigung für Wurzelkanäle (mit Ultraschall-, Piezotechnik) Lupenbrillen Und übrigens: Wurzelbehandlungen müssen nicht schmerzhaft sein. Für viele benötigen wir sogar keine Betäubung.
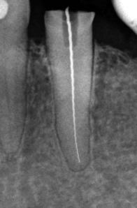
Längenvermessung eines Wurzelkanals
perfekte Wurzelkanalfüllung

Endodontie - Wurzelkanalbehandlung

Ursachen und Behandlungsablauf:

Wenn der Zahnnerv (Pulpa) entzündet oder schon abgestorben ist, dringen Bakterien über den Wurzelkanal in den Körper ein. Dieses führt zu einer chronischen oder akuten eitrigen Entzündung in der Umgebung der Wurzelspitze. Sehr starke Zahnschmerzen sind die Folge. Um den erkrankten Zahn langfristig zu erhalten, muss eine Wurzelkanalbehandlung durchgeführt werden. Ziel ist die bakterielle Besiedlung der Wurzelkanäle zu eliminieren und eine Neubesiedlung mit Bakterien durch eine sog. Wurzelfüllung dauerhaft zu verhindern.
zurück zurück
Die dauerhafte Elimination der Bakterien aus dem Zahninneren wird durch die vollständige Erschließung der Wurzelkanäle, Reinigung und chemische Desinfektion sowie durch die abschließende sorgfältige Abdichtung des Wurzelkanals über seine gesamte Länge durch eine homogene wandständige Wurzelkanalfüllung erzielt. Wurzelkanalbehandlungen gehören zu den schwierigsten Disziplinen in der Zahnheilkunde. Neue Erkenntnisse, neue Techniken und neue Systeme eröffnen beste Voraussetzungen, mit denen man heute auch schwierige Wurzelkanalbehandlungen oftmals schonend, schmerzfrei und erfolgreich durchführen kann.
© dent-team.de

Unsere modernen Systeme zur Wurzelbehandlung:

neue maschinelle Aufbereitungssysteme spezielle elektronische Systeme zur Vermessung hochauflösende digitale Röntgentechnik aufwendige Desinfektion und Reinigung für Wurzelkanäle (mit Ultraschall-, Piezotechnik) Lupenbrillen Und übrigens: Wurzelbehandlungen müssen nicht schmerzhaft sein. Für viele benötigen wir sogar keine Betäubung.
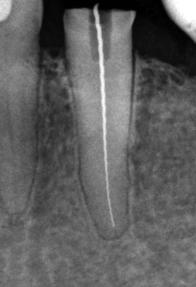
Längenvermessung eines Wurzelkanals
Zahnärztliche Gemeinschaftspraxis     Hannoversche Heerstr. 130  .  29227 Celle   Tel. 05141 81993  info@dent-team.de © dent-team.de 2026 Montag - Donnerstag: 7:30 - 18:30 Uhr  Freitag: 7:30 - 14:00 Uhr