Implantologie

fachliches Konzept für Langlebigkeit

Warum Implantate:

Nichts ist besser als die eigenen gesunden Zähne. Daher ist es unser höchstes Ziel, Ihre eigenen Zähne durch sorgfältige Mundpflege und professionelle Prophylaxe zu erhalten. Sollten dennoch Zähne verloren gehen, eröffnet die Implantologie für Sie die beste und vollwertigste Möglichkeit, fehlende Zähne zu ersetzen. In unserer Gemeinschaftspraxis in Celle steht dabei die langfristige Gesundheit der eingebrachten Implantate auch schon bei der OP-Planung an erster Stelle.
zurück zurück
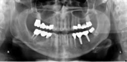
Vergleich Zahn - Implantat

Beispiele für komplexe implantologische Versorgungen aus unserer Gemeinschaftspraxis

(Planung / Endversorgung -- als Röntgenaufnahmen)

C1
C2
C3

Moderne Zahn-Implantate sind fest und sicher - der Eingriff schonend:

Sie sind nicht zu sehen und nicht zu spüren. Sie fühlen sich wie natürliche Zähne an. Die Patienten sind zumeist von der Schmerzarmut des Eingriffs überrascht. Alternative Versorgungen für fehlende Zähne (Prothesen oder Brücken) haben hingegen deutliche Nachteile. Informationen zu den Unterschieden können Sie dem Video (s. oben) entnehmen.

Sofortimplantate:

Am günstigsten und optimal schonend ist es, einen verlorenen Zahn sofort durch ein Implantat zu ersetzen (Sofortimplantat). Hierdurch wird ein Zurückbilden des zahntragenden Knochens (Kieferatrophie) vermieden. In bestimmen Fällen ist sogar ein gleichzeitiger Lückenschluß durch eine provisorische Krone möglich (Sofortimplantation mit Sofortversorgung). Ob dies tatsächlich das beste Vorgehen darstellt, müssen wir zuvor abklären. Je länger der Kieferknochen zahnlos ist, desto mehr geht der Kieferknochen dort zurück. Dann sind zusätzliche Maßnahmen zum Knochenaufbau notwendig.
Hochwertige Implantation: Jede Zahnimplantation ist anspruchsvoll. Es ist ein oral-chirurgischer Eingriff der sehr schonend durchgeführt werden sollte und bei dem viel beachtet werden muss. Dazu bedarf es einer sorgfältigen Vorplanung, unter anderem an Modellen und an Röntgenaufnahmen (3D-Röntgen). Eine exakte Positionierung des Implantates und eine schonende Operationstechnik (Mikrochirurgie) zeichnen sorgfältige zahnärztliche Implantationen aus.

Langzeiterfolg:

Eine optimale Integration in das Hartgewebe und Weichgewebe sind für den dauerhaften Erfolg entscheidend. Evtl. bedarf es hierzu zusätzlicher Maßnahmen (Knochenaufbau und Zahnfleischaufbau). Hierfür setzten wir unsere langjährige implantologische und parodontologische Kompetenz seit 1992 zusammen mit unserer hochwertigen und umfangreichen technischen Ausstattung in unserer Zahnarztpraxis in Celle ein.
Fotos: Camlog  Beispiele für Zahn-Implantate: Implantate Implantate Knochenaufbau Knochenaufbau Sinuslift Sinuslift Video Implantation Video Implantation Video Implantation Video Implantation

Wertvolle Informationen zum

Behandlungsablauf bei Implantaten:

Weitere Informationen:
A1
A2
B1
B2

Implantologie

fachliches Konzept für Langlebigkeit

Warum Implantate:

Nichts ist besser als die eigenen gesunden Zähne. Daher ist es unser höchstes Ziel, Ihre eigenen Zähne durch sorgfältige Mundpflege und professionelle Prophylaxe zu erhalten. Sollten dennoch Zähne verloren gehen, eröffnet die Implantologie für Sie die beste und vollwertigste Möglichkeit, fehlende Zähne zu ersetzen. In unserer Gemeinschaftspraxis in Celle steht dabei die langfristige Gesundheit der eingebrachten Implantate auch schon bei der OP-Planung an erster Stelle.
zurück zurück
Implantate Knochenaufbau

Moderne Zahn-Implantate sind fest und sicher:

Sie sind nicht zu sehen und nicht zu spüren. Sie fühlen sich wie natürliche Zähne an. Festsitzende Zähne im Gegensatz zu Prothesen haben deutliche Vorteile für die Mundgesundheit. Informationen zu den Unterschieden können Sie dem Video (s. oben) entnehmen.

Sofortimplantate:

Am günstigsten ist es, einen verlorenen Zahn sofort durch ein Implantat zu ersetzen (Sofortimplantat). Hierdurch wird ein Zurückbilden des zahntragenden Kiefers (Kieferatrophie) vermieden. In bestimmen Fällen ist sogar eine gleichzeitiger Lückenschluß durch eine provisorische Krone möglich(Sofortimplantation mit Sofortversorgung). Je länger Zähne im Kiefer fehlen, desto mehr geht der Kieferknochen dort zurück. Dann wären zusätzliche Maßnahmen zum Knochenaufbau nötig. Hochwertige Implantation:
Jede Zahnimplantation ist anspruchsvoll. Es ist ein oral-chirurgischer Eingriff, bei dem viel beachtet werden muss. Es bedarf einer sorgfältigen Vorplanung, unter anderem an Modellen und an Röntgenaufnahmen (3D-Röntgen). Eine exakte Positionierung des Implantates und eine schonende Operationstechnik (Mikrochirurgie) zeichnen sorgfältige zahnärztliche Implantationen aus.

Langzeiterfolg:

Eine optimale Integration in das Hartgewebe und Weichgewebe sind für den dauerhaften Erfolg entscheidend. Evtl. bedarf es hierzu zusätzlicher Maßnahmen (Knochenaufbau und Zahnfleischaufbau). Hierfür setzten wir unsere langjährige implantologische und parodontologische Kompetenz seit 1992 zusammen mit unserer hochwertigen technischen Ausstattung in unserer Zahnarztpraxis in Celle ein.
Fotos: Camlog  Beispiele für Zahn-Implantate:
Zahnärztliche Gemeinschaftspraxis     Hannoversche Heerstr. 130  .  29227 Celle   Tel. 05141 81993  info@dent-team.de © dent-team.de 2026 Montag - Donnerstag: 7:30 - 18:30 Uhr  Freitag: 7:30 - 14:00 Uhr
Implantate Knochenaufbau Sinuslift Video Implantation Video Implantation Video Implantation Video Implantation
Weitere Informationen: